Ramiro Morales, M.D. Plastic & Reconstructive Surgery 954-450-6594 1-855-FL-NEWLOOK 855-356-3956

← Back to All Cases

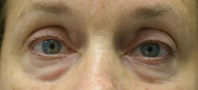
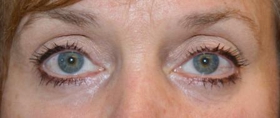
Case 3: Eyelid Surgery

Eyelids

Age: 58
Ethnicity: Caucasian
Gender: Female

< previous case | next case >

Image_medium Pre-bleph
Image_medium pre-bleph
Image_medium after bleph
Image_medium after bleph

CONTACT US TODAY!

Have questions? Contact our office today!